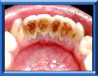
Ejemplo de los tratamientos dentales que se hacen en el consultorio dental.  Antes dientes con sarro |
 Despues eliminacion del sarro |
 Antes dientes amarillos |
 Despues con blanqueamiento dental |
 Antes dientes con amalgama |
 Despues dientes con resina (material del color del diente) |
 Protesis fija antes y despues de su colocacion |
 Tratamiento con Resinas y Microabrasion para fluorosis dental |
|